您的位置:首页 > 怀孕 > 怀孕知识 >

孕囊形状看男女(超准),长条是男宝/圆形是女宝

发布时间:2022-10-06 17:10
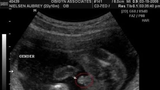
孕囊形状看男女是通过看6-7周的孕囊数据来判断,大多是长一点的是男孩,圆一点的是女孩,有很多宝妈都说很准。不过这种说法也不是100%的准确,...

  孕囊形状看男女是通过看6-7周的孕囊数据来判断,大多是长一点的是男孩,圆一点的是女孩,有很多宝妈都说很准。不过这种说法也不是100%的准确,

孕囊形状看男女(超准)

孕囊形状看男女(超准),长条是男宝/圆形是女宝

  在怀孕到一定阶段的时候,在做b超的时候是可以看到孕囊的,在5周左右基本可以看见,但是此时很小,对于大家说的孕囊形状看男女究竟是怎么看呢,孕囊是有它的形状的,在观察孕囊的形状,如果发现是长条状的话,则可能是男宝宝,如果孕囊的形状是椭圆形或者圆形的话,则可能是女宝宝哦。

  原来孕囊形状看是男孩还是女孩的方法是这样看的,但是我们也是需要知道,孕囊的形状并不是固定的,它也是会有变化的,它受羊水量多少的影响,形状也是会改变的,怀孕天数不同,大家看到孕囊也可能会不一样的,医生在截取的时候截取孕囊的方位不一样,孕囊的图片的长或者圆不能够简单进行判断男女的,但是除了孕囊形状之外,大家可能也会听说过多种与孕囊有关的方法。

  1、孕囊大小

孕囊形状看男女(超准),长条是男宝/圆形是女宝

  大家可以看看5周+6天的B超数据:如果孕囊大小25mm*11mm,那么可能是男宝宝。

  大家可以看看怀孕7周+1天的B超数据:孕囊2.9*1.9,那么可能是男宝宝;如果是孕囊大小32*20mm,那么可能是女宝宝。

  大家可以看看8周多的B超数据:如果孕囊是19mm*10mm,可能是男宝宝;如果8周的时候是41*28mm,那么生下的可能是女宝宝。

  大家可以看看9周+4天的B超数据:如果宫内见46.6*30.2mm孕囊,那么双胞胎可能都是女孩。

  大家可以看看60天的B超数据:孕囊大小3.6*1.6mm,那么可能是男宝宝。

  大家可以看看46天B超数据:如果是孕囊20mm×17mm×17mm,那么可能是女宝宝。

  2、看孕囊3个数据

孕囊形状看男女(超准),长条是男宝/圆形是女宝

  如果孕囊成等差数列比的话,就比如40*30*20这样的,那可能就是说肚子里的孩子可能是女孩。最好是要三个数据的。孕囊的B超图像是需要医生截取的,而这是存在误差的,两个数据的判断是不准确的。

  孕囊形状看男女(超准)的说法其实是没有科学依据的,大家不必对此过于认真的,即使对孩子有很多的好奇,但是孩子的性别只有出生之后才能够知道的。

孕囊形状看男女图表一览

孕囊形状看男女图表一览
条件 男孩 女孩
形状 茄子形 趋近圆
长为男 圆生女
三数据 x=2z;y=2z 等差数列
:没有科学依据,仅供孕妇参考、娱乐

  其实,孕早期就可以根据孕囊数据、形状来判断性别,比如:长多为男孩,圆多为女孩。卵子和精子是在输卵管内完成受精的,受精完毕后就开始生长。不同的DNA,会有不同的形状。在怀孕早期,妊娠囊的形状比较好判断:XY染色体的妊娠囊,是长条形的;XX染色体的妊娠囊,形状相对比较圆。

通过孕囊形状看男女什么时候最准

孕囊形状看男女(超准),长条是男宝/圆形是女宝

  孕囊要看早期形状,40-50天左右是最准的,如果是9周以后的数据准确性就很低了。

免责声明:本文仅代表作者个人观点,与好妈妈育儿网无关。其原创性以及文中陈述文字和内容未经本站证实,对本文以及其中全部或者部分内容、文字的真实性、完整性、及时性本站不作任何保证或承诺,请读者仅作参考,并请自行核实相关内容。
  • 孕囊
  • 孕囊形状看男女(超准)
  • 怀孕生男孩的孕囊是长什么样的?附已生男孩孕囊参考数据
    怀孕生男孩的孕囊是长什么样的?附已生男孩孕囊参考数据
  • 孕囊看生男生女最准确方法一览!参考孕囊大小看男女的对照表
    孕囊看生男生女最准确方法一览!参考孕囊大小看男女的对照表
  • 孕囊形状与胎儿性别的关系!判断胎儿性别的科学方法一览
    孕囊形状与胎儿性别的关系!判断胎儿性别的科学方法一览
  • 怎样根据孕囊大小计算孕周(根据孕囊大小推算怀孕天数准确吗)
    怎样根据孕囊大小计算孕周(根据孕囊大小推算怀孕天数准确吗)
  • 长孕囊和圆孕囊的区别?哪个更好?
    长孕囊和圆孕囊的区别?哪个更好?
  • 空孕囊是什么症状(空孕囊会有妊娠反应吗)
    空孕囊是什么症状(空孕囊会有妊娠反应吗)
  • 已生男孩阴超孕囊参考图片 孕囊尺寸三个数据看男孩
    已生男孩阴超孕囊参考图片 孕囊尺寸三个数据看男孩
  • 孕囊偏左侧大夫说是男孩 宫内早孕偏左侧调整方法
    孕囊偏左侧大夫说是男孩 宫内早孕偏左侧调整方法
  • 孕囊看男女准确率高么(孕囊的形状或大小看男女方法)
    孕囊看男女准确率高么(孕囊的形状或大小看男女方法)
  • 2023孕囊男孩女孩对照表 孕囊形状看男女方法
    2023孕囊男孩女孩对照表 孕囊形状看男女方法
  • 孕6-7周孕囊形状看男女 四维单子3秒钟看男是女的方法
    孕6-7周孕囊形状看男女 四维单子3秒钟看男是女的方法
  • 孕囊尺寸三个数据图解看男孩 是真的吗
    孕囊尺寸三个数据图解看男孩 是真的吗